Catalog NO.:BE3994-100
Applications :WB, IP
Reactivity :C. Elegans, H, M, R, Yeast
| 货号 | 规格 | 品牌 | 库存 | 价格 | 数量 | 操作 |
|---|---|---|---|---|---|---|
| BE3994-100 | 100ul/支 | EASYBIO |
|

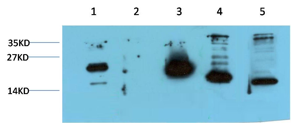
Histone H3 is one of the five main histone proteins involved in the structure of chromatin in eukaryotic cells. Core component of nucleosome. Nucleosomes wrap and compact DNA into chromatin, limiting DNA accessibility to the cellular machineries which require DNA as a template. Histones thereby play a central role in transcription regulation, DNA repair, DNA replication and chromosomal stability
| Product Name: | Histone H3 Rabbit Polyclonal Antibody |
|---|---|
| Isotype: | IgG1 |
| Storage Buffer : | Antigen Affinity Purified IgG in PBS, pH 7.4, containing 0.02% sodium azide as Preservative and 50% Glycerol |
| Storage instructions: | Store at -20°C. Do not aliquot the antibody |
| Recommended dilutions: | WB:1:2,000-5,000 IP:5ul/mg protein |
| Optimal dilutions should be determined by the end user. | |
| Specificity: | Antibody can detects endogenous Histone H3 protein,predict Cross-Reactivity with Drosophila Melanogaster and other Species |
| Alternative Names: | H3 histone antibody, HIST1H3A antibody, Histone cluster 1, H3a antibody |
| Form: | Liquid |
| Reactivity: | C. Elegans, H, M, R, Yeast |
暂无参考文献!