Catalog NO.:BE3597
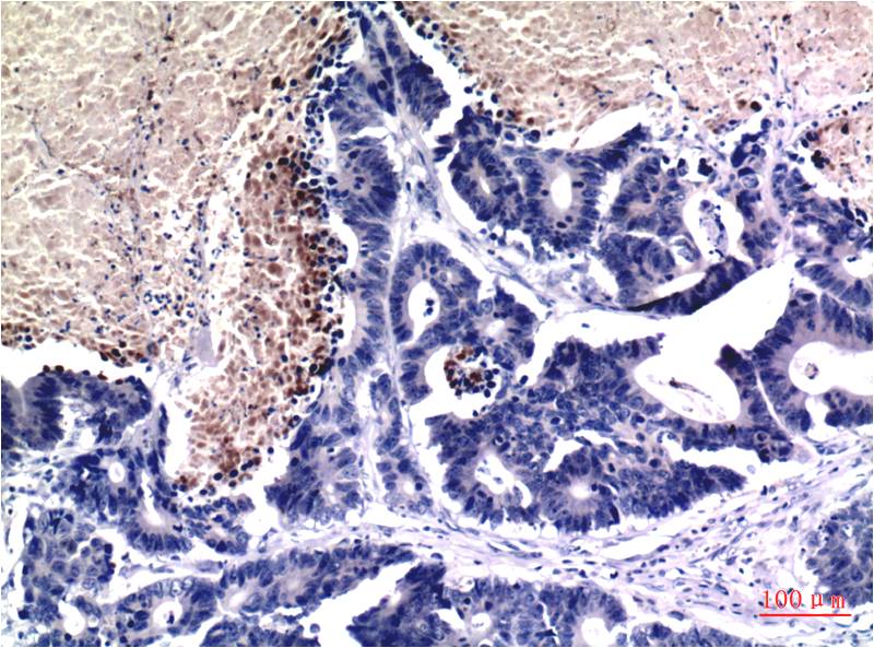
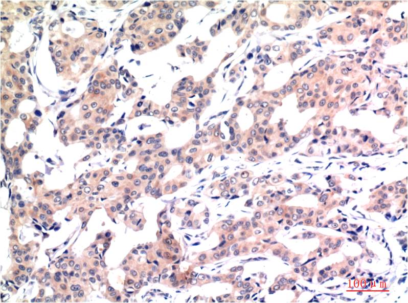
Applications :IHC
Reactivity :H, R, M
| 货号 | 规格 | 品牌 | 库存 | 价格 | 数量 | 操作 |
|---|---|---|---|---|---|---|
| BE3597-100 | 100ul | EASYBIO |
|

Histone H3 is one of the five main histone proteins involved in the structure of chromatin in eukaryotic cells. Core component of nucleosome. Nucleosomes wrap and compact DNA into chromatin, limiting DNA accessibility to the cellular machineries which require DNA as a template. Histones thereby play a central role in transcription regulation, DNA repair, DNA replication and chromosomal stability
| Product Name: | Acetyl-Histone H3 (K9) Monoclonal Antibody(2E7) |
|---|---|
| Isotype: | IgG1 |
| Storage Buffer : | PBS, pH 7.4, containing 0.02% sodium azide as Preservative and 50% Glycerol |
| Storage instructions: | -20°C. Do not aliquot the antibody |
| Recommended dilutions: | IHC: 1:100-200 |
| Optimal dilutions should be determined by the end user. | |
| Specificity: | The Histone H3(Acetyl Lys9) Mouse Monoclonal Antibody can detects endogenous Histone H3 (Acetyl Lys9) protein. |
| Alternative Names: | H3 histone antibody, HIST1H3A antibody, Histone cluster 1, H3a antibody |
| Form: | Liquid |
| Reactivity: | H, R, M |
暂无参考文献!