标签蛋白抗体
主要包括:常规标签抗体、直标标签抗体

Acetyl Lysine Mouse Monoclonal Antibody

Catalog NO.:BE3411
Applications :WB, IHC
Reactivity :ALL

货号 规格 品牌 库存 价格 数量 操作
BE3411-50 50μl/支 EASYBIO
BE3411-100 100μl/支 EASYBIO
BE3411-10 10μl/支 EASYBIO

Acetylation of lysine, like phosphorylation of serine, threonine or tyrosine, is an important reversible modification controlling protein activity. The role of acetylation in intracellular signaling has been inferred from the binding of acetylated peptides by the conserved bromodomain

Product Name: Acetyl Lysine Mouse Monoclonal Antibody
Isotype: IgG1
Storage Buffer : PBS, pH 7.4, containing 0.02% sodium azide as Preservative and 50% Glycerol
Storage instructions: -20°C. Do not aliquot the antibody
Recommended dilutions: WB:1: 1,000-2,000 IHC:1:200-500
Optimal dilutions should be determined by the end user.
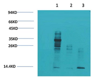
Specificity: The Acetyl Lysine Mouse Monoclonal Antibody can detects endogenous Lysine Acetylated protein.
Alternative Names: Ac K antidoby
Form: Liquid
Reactivity: ALL

[1]Guo, L., Liu, M., Bi, Y., Qi, Q., Xian, M., & Zhao, G. (2023). Using a synthetic machinery to improve carbon yield with acetylphosphate as the core. Nature communications14(1), 5286. https://doi.org/10.1038/s41467-023-41135-7

相关产品