Catalog NO.:BE3748
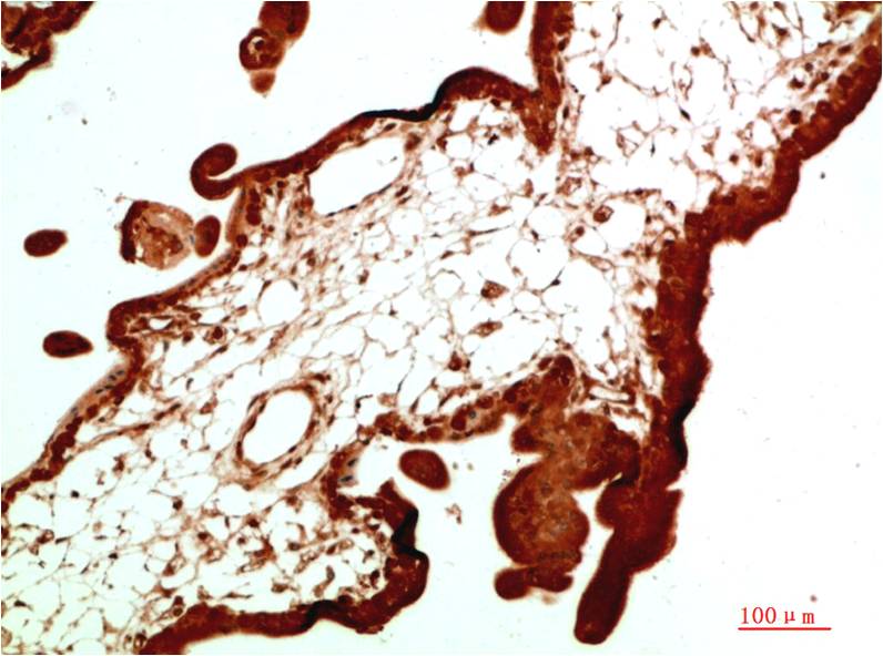
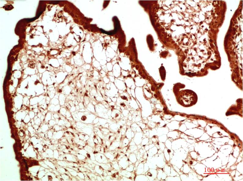
Applications :IHC
Reactivity :H,R,M
| 货号 | 规格 | 品牌 | 库存 | 价格 | 数量 | 操作 |
|---|---|---|---|---|---|---|
| BE3748-100 | 100ul | EASYBIO |
|
Heterochromatin protein 1 (HP1) is a family of heterochromatic adaptor molecules involved in both gene silencing and higher order chromatin structure. All three HP1 family members (α, β, and γ) are primarily associated with centromeric heterochromatin.
| Product Name: | HP-1α Mouse Monoclonal Antibody(2G2) |
|---|---|
| Isotype: | IgG1 |
| Storage Buffer : | 1mg/ml in PBS, pH 7.4, containing 0.02% sodium azide and 50% glycerol |
| Storage instructions: | -20°C. Do not aliquot the antibody |
| Recommended dilutions: | IHC 1:200-500 |
| Optimal dilutions should be determined by the end user. | |
| Specificity: | The HP-1α Mouse Monoclonal Antibody can detects endogenous Collagen I I proteins |
| Alternative Names: | Antigen p25, CBX5, HEL25, Heterochromatin protein 1 |
| Form: | Liquid |
| Reactivity: | H,R,M |
暂无参考文献!