Catalog NO.:BE3741
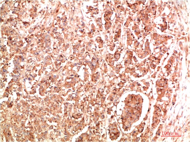
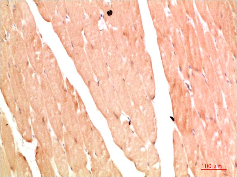
Applications :IHC
Reactivity :H,R,M
| 货号 | 规格 | 品牌 | 库存 | 价格 | 数量 | 操作 |
|---|---|---|---|---|---|---|
| BE3741-100 | 100ul | EASYBIO |
|

NBR1 protein is known for its encoding gene proximity to the BRCA1 tumor suppressor gene. N-terminal Phox and Bem1p (PB1) domains of NBR1 mediate its interaction with muscle specific titin kinase and scaffolding protein p62. NBR1 plays a role in autophagy by facilitating the autophagosomal degradation of ubiquitinated proteins independently and also in concert with p62.
| Product Name: | NBR1 Rabbit Polyclonal Antibody |
|---|---|
| Isotype: | IgG |
| Storage Buffer : | 1mg/ml in PBS, pH 7.4, containing 0.02% sodium azide and 50% glycerol |
| Storage instructions: | -20°C. Do not aliquot the antibody |
| Recommended dilutions: | IHC: 1:100-200 |
| Optimal dilutions should be determined by the end user. | |
| Specificity: | The NBR1 Rabbit Polyclonal Antibody can detects endogenous NBR1 proteins. |
| Alternative Names: | 1A13B, MIG19, Nbr1 |
| Form: | Liquid |
| Reactivity: | H,R,M |
暂无参考文献!