标签蛋白抗体
主要包括:常规标签抗体、直标标签抗体

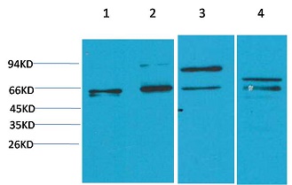
Smad2 Rabbit Polyclonal Antibody

Catalog NO.:BE3420
Applications :WB, IHC
Reactivity :H,R,M

货号 规格 品牌 库存 价格 数量 操作
BE3420-50 50μl/支 EASYBIO
BE3420-100 100μl/支 EASYBIO
BE3420-10 10μl/支 EASYBIO

SMAD2 is a protein that in humans is encoded by the SMAD2 gene. SMAD proteins are signal transducers and transcriptional modulators that mediate multiple signaling pathways. SMAD2 mediates the signal of the transforming growth factor (TGF)-beta, and thus regulates multiple cellular processes, such as cell proliferation, apoptosis, and differentiation. This protein is recruited to the TGF-beta receptors through its interaction with the SMAD anchor for receptor activation (SARA) protein

Product Name: Smad2 Rabbit Polyclonal Antibody
Isotype: IgG
Storage Buffer : Antigen Affinity Purified IgG in PBS, pH 7.4, containing 0.02% sodium azide as Preservative and 50% Glycerol
Storage instructions: -20°C. Do not aliquot the antibody
Recommended dilutions: WB:1:1,000-2,000 IHC:1:100-200
Optimal dilutions should be determined by the end user.
Specificity: Antibody can detects endogenous Smad2 protein.
Alternative Names: hMAD2 antibody, JV18 antibody, MAD antibody, MADH2 antibody, MGC22139 antibody
Form: Liquid
Reactivity: H,R,M
Alternate Text 暂无参考文献!
相关产品