Catalog NO.:BE3421
Applications :WB, IHC
Reactivity :H,R,M
| 货号 | 规格 | 品牌 | 库存 | 价格 | 数量 | 操作 |
|---|---|---|---|---|---|---|
| BE3421-50 | 50μl/支 | EASYBIO |
|
|||
| BE3421-100 | 100μl/支 | EASYBIO |
|
|||
| BE3421-10 | 10μl/支 | EASYBIO |
|

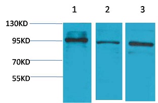
Signal transducer and activator of transcription that mediates signaling by type I IFNs (IFN-alpha and IFN-beta). Following type I IFN binding to cell surface receptors, Jak kinases (TYK2 and JAK1) are activated, leading to tyrosine phosphorylation of STAT1 and STAT2
| Product Name: | STAT2 Rabbit Polyclonal Antibody |
|---|---|
| Isotype: | IgG |
| Storage Buffer : | Antigen Affinity Purified IgG in PBS, pH 7.4, containing 0.02% sodium azide as Preservative and 50% Glycerol |
| Storage instructions: | -20°C. Do not aliquot the antibody |
| Recommended dilutions: | WB:1:1,000-2,000 IHC:1:100-200 |
| Optimal dilutions should be determined by the end user. | |
| Specificity: | Antibody can detects endogenous STAT2 protein. |
| Alternative Names: | ISGF 3 antibody, p113 antibody, STAT113 antibody, MGC59816 antibody |
| Form: | Liquid |
| Reactivity: | H,R,M |
暂无参考文献!