标签蛋白抗体
主要包括:常规标签抗体、直标标签抗体

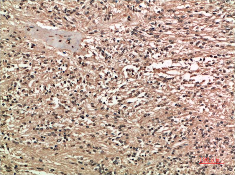
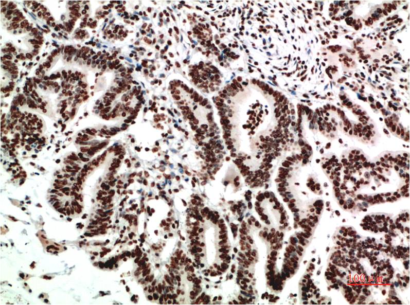
COX-2 Mouse Monoclonal Antibody(2G1)

Catalog NO.:BE3661
Applications :IHC
Reactivity :H,R,M

货号 规格 品牌 库存 价格 数量 操作
BE3661-100 100ul EASYBIO

Prostaglandin-endoperoxide synthase 2, also known as cyclooxygenase-2 or simply COX-2, is an enzyme that in humans is encoded by the PTGS2 gene. There are two isozymes of COX encoded by distinct gene products: a constitutive COX-1 (this enzyme) and an inducible COX-2, which differ in their regulation of expression and tissue distribution. The expression of these two transcripts is differentially regulated by relevant cytokines and growth factors. A splice variant of COX-1 termed COX-3 was identified in the CNS of dogs, but does not result in a functional protein in humans. Two smaller COX-1-derived proteins (the partial COX-1 proteins PCOX-1A and PCOX-1B) have also been discovered, but their precise roles are yet to be described.

Product Name: COX-2 Mouse Monoclonal Antibody(2G1)
Isotype: IgG1
Storage Buffer : PBS, pH 7.4, containing 0.02% sodium azide as Preservative and 50% Glycerol
Storage instructions: -20°C. Do not aliquot the antibody
Recommended dilutions: IHC 1:100-200
Optimal dilutions should be determined by the end user.
Specificity: The COX-2 Mouse Monoclonal Antibody can detects endogenous COX-2 proteins.
Alternative Names: PTGS2 antibody, Prostaglandin H2 synthase 2 antibody, PGHS 2 antibody, Glucocorticoid-regulated inflammatory cyclooxygenase antibody
Form: Liquid
Reactivity: H,R,M
Alternate Text 暂无参考文献!
相关产品