Catalog NO.:BE3664
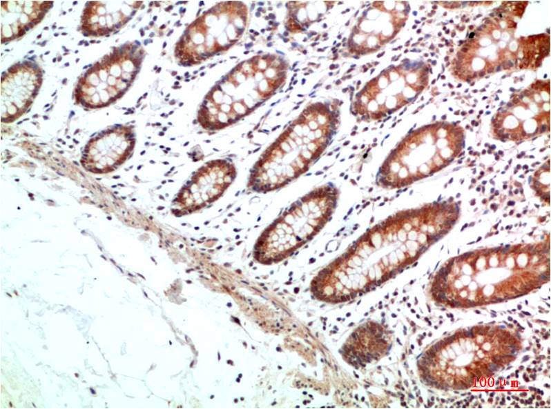
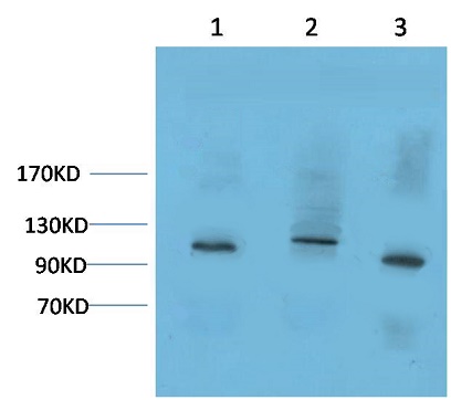
Applications :WB, IHC
Reactivity :H, R, M
| 货号 | 规格 | 品牌 | 库存 | 价格 | 数量 | 操作 |
|---|---|---|---|---|---|---|
| BE3664-100 | 100ul | EASYBIO |
|

Hypoxia-inducible factor 1-alpha, also known as HIF-1-alpha, is a protein that in humans is encoded by the HIF1A gene. HIF-1-alpha found in mammalian cells growing at low oxygen concentrations. It plays an essential role in cellular and systemic responses to hypoxia.
| Product Name: | HIF-1α Rabbit Polyclonal Antibody |
|---|---|
| Isotype: | IgG |
| Storage Buffer : | 1mg/ml in PBS pH7.4, containing 0.02% sodium azide as Preservative and 50% Glycerol |
| Storage instructions: | -20°C. Do not aliquot the antibody |
| Recommended dilutions: | WB: 1: 500-1,000 IHC: 1:100-200 |
| Optimal dilutions should be determined by the end user. | |
| Specificity: | The HIF-1 α Rabbit Polyclonal Antibody can detects endogenous HIF-1 α protein. |
| Alternative Names: | Hypoxia inducibel factor 1 alpha, HIF1A, ARNT, MOP1, PAS domain-containing protein 8, PASD8 |
| Form: | Liquid |
| Reactivity: | H, R, M |
暂无参考文献!