标签蛋白抗体
主要包括:常规标签抗体、直标标签抗体

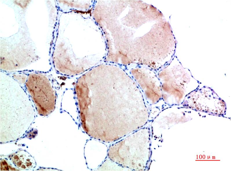
TTR Mouse Monoclonal Antibody(9B5)

Catalog NO.:BE3690
Applications :WB, IHC
Reactivity :H

货号 规格 品牌 库存 价格 数量 操作
BE3690-100 100ul EASYBIO

Prealbumin, also designated transthyretin, is a major thyroid-hormone binding protein involved in transporting thyroxine from the bloodstream to the brain. Prealbumin is located in the cytoplasm and in the vesicles of developing rat brain cells, and is thought to be transported there from the cerebrospinal fluid via endocytosis.

Product Name: TTR Mouse Monoclonal Antibody(9B5)
Isotype: IgG1
Storage Buffer : 1mg/ml in PBS, pH 7.4, containing 0.02% sodium azide and 50% glycerol.
Storage instructions: -20°C. Do not aliquot the antibody
Recommended dilutions: WB 1:1,000-2,000 IHC 1:100-200
Optimal dilutions should be determined by the end user.
Specificity: The TTR Mouse Monoclonal Antibody can detects endogenous TTR proteins.
Alternative Names: Prealbumin, TBPA, Amyloidosis I, Transthyretin antibody
Form: Liquid
Reactivity: H
Alternate Text 暂无参考文献!
相关产品