标签蛋白抗体
主要包括:常规标签抗体、直标标签抗体

HP-1α Mouse Monoclonal Antibody(5E3)

Catalog NO.:BE3698
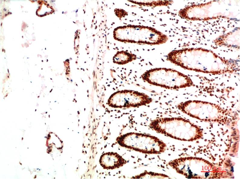
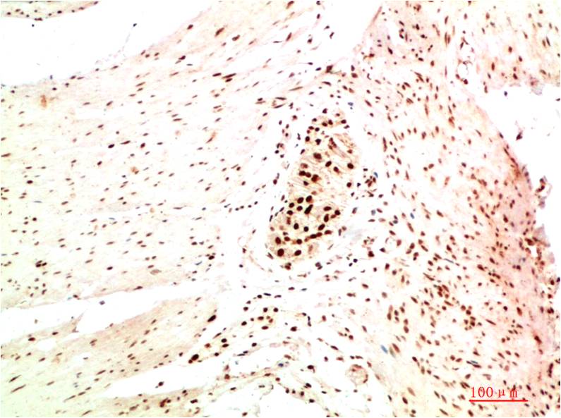
Applications :WB, IHC
Reactivity :H,R,M

货号 规格 品牌 库存 价格 数量 操作
BE3698-100 100ul EASYBIO

Heterochromatin protein 1 (HP1) is a family of heterochromatic adaptor molecules involved in both gene silencing and higher order chromatin structure. All three HP1 family members (α, β, and γ) are primarily associated with centromeric heterochromatin.

Product Name: HP-1α Mouse Monoclonal Antibody(5E3)
Isotype: IgG1
Storage Buffer : 1mg/ml in PBS, pH 7.4, containing 0.02% sodium azide and 50% glycerol.
Storage instructions: -20°C. Do not aliquot the antibody
Recommended dilutions: WB 1:500-1,000 IHC 1:200-500
Optimal dilutions should be determined by the end user.
Specificity: The HP-1α Mouse Monoclonal Antibody can detects endogenous Collagen I I proteins.
Alternative Names: Antigen p25, CBX5, HEL25, Heterochromatin protein 1
Form: Liquid
Reactivity: H,R,M
Alternate Text 暂无参考文献!
相关产品