标签蛋白抗体
主要包括:常规标签抗体、直标标签抗体

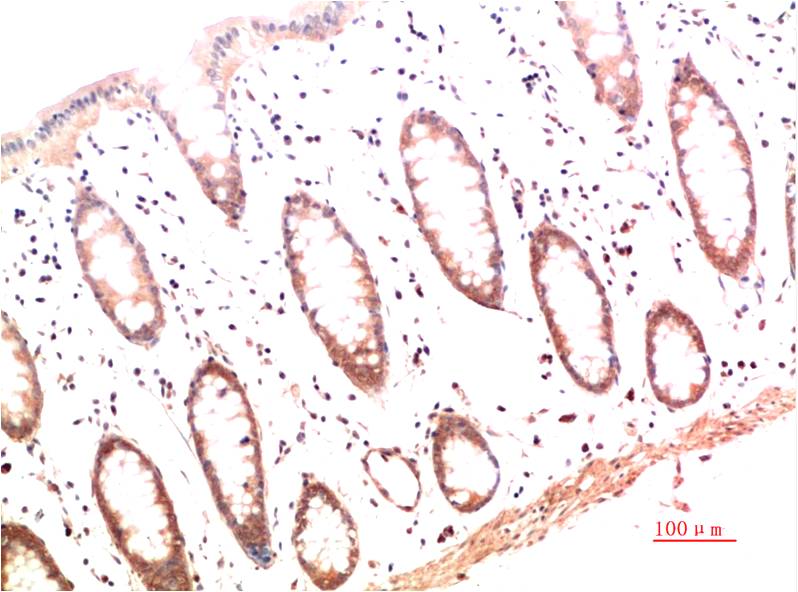
Collagen I Mouse Monoclonal Antibody(4B5)

Catalog NO.:BE3719
Applications :IHC
Reactivity :H,R,M

货号 规格 品牌 库存 价格 数量 操作
BE3719-100 100ul EASYBIO

Type 1 collagen is a trimeric complex comprised of two molecules of COL1A1 (alpha-1 type 1 collagen) and one molecule of COL1A2 (alpha-2 type 1 collagen). The expression levels of COL1A1 are regulated by multiple mechanisms, including mRNA stability, translation, and posttranslational modification.

Product Name: Collagen I Mouse Monoclonal Antibody(4B5)
Isotype: IgG1
Storage Buffer : 1mg/ml in PBS, pH 7.4, containing 0.02% sodium azide and 50% glycerol
Storage instructions: -20°C. Do not aliquot the antibody
Recommended dilutions: IHC: 1:100-200
Optimal dilutions should be determined by the end user.
Specificity: The antibody detects endogenous Collagen I protein.
Alternative Names: Alpha 1 type I collagen, COL1A1, COL1A2
Form: Liquid
Reactivity: H,R,M
Alternate Text 暂无参考文献!
相关产品