Catalog NO.:BE3730
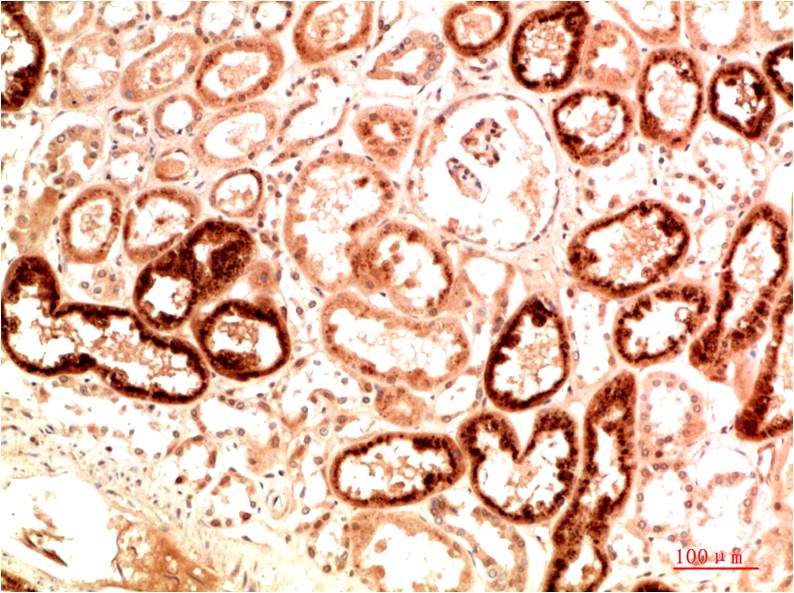
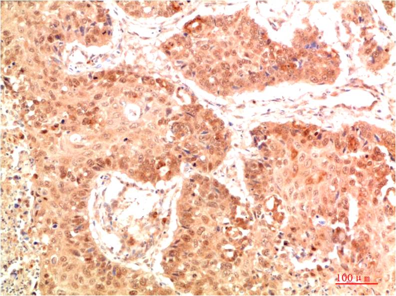
Applications :IHC
Reactivity :H, R, M
| 货号 | 规格 | 品牌 | 库存 | 价格 | 数量 | 操作 |
|---|---|---|---|---|---|---|
| BE3730-100 | 100ul | EASYBIO |
|

Nuclear factor (erythroid-derived 2)-like 2, also known as NFE2L2 or Nrf2, is a transcription factor that in humans is encoded by the NFE2L2 gene. Small amounts of constitutive nuclear NRF2 maintain cellular homeostasis through regulation of basal expression of antioxidant response genes.
| Product Name: | Nrf2 Rabbit Polyclonal Antibody |
|---|---|
| Isotype: | IgG |
| Storage Buffer : | 1mg/ml in PBS, pH 7.4, containing 0.02% sodium azide and 50% glycerol. |
| Storage instructions: | -20°C. Do not aliquot the antibody |
| Recommended dilutions: | IHC: 1:200-500 |
| Optimal dilutions should be determined by the end user. | |
| Specificity: | The Nrf2 Rabbit Polyclonal Antibody can detects endogenous Nrf2 proteins. |
| Alternative Names: | HEBP1 antibody, Like 2 antibody, NFE2 related factor 2 antibody, Nuclear factor erythroid 2 like 2 antibody |
| Form: | Liquid |
| Reactivity: | H, R, M |
暂无参考文献!