Catalog NO.:BE3333
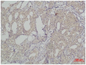
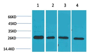
Applications :WB, IHC
Reactivity :H,R,M
| 货号 | 规格 | 品牌 | 库存 | 价格 | 数量 | 操作 |
|---|---|---|---|---|---|---|
| BE3333-50 | 50μl/支 | EASYBIO |
|
|||
| BE3333-100 | 100μl/支 | EASYBIO |
|
|||
| BE3333-10 | 10μl/支 | EASYBIO |
|

Transcriptional repressor. Involved in the generation and migration of neural crest cells.
| Product Name: | SLUG Rabbit Polyclonal Antibody |
|---|---|
| Isotype: | IgG |
| Storage Buffer : | Affinity Purified IgG, PBS, pH 7.4, containing 0.02% sodium azide as Preservative and 50% Glycerol |
| Storage instructions: | -20°C. Do not aliquot the antibody |
| Recommended dilutions: | WB:1:500-1,000 IHC:1:200-500 |
| Optimal dilutions should be determined by the end user. | |
| Specificity: | Antibody can detects endogenous SLUG protein. |
| Alternative Names: | MGC10182 antibody, SLUGH1 antibody, SNAI2 antibody, Zinc finger protein SLUG antibody, WS2D antibody |
| Form: | Liquid |
| Reactivity: | H,R,M |
暂无参考文献!