标签蛋白抗体
主要包括:常规标签抗体、直标标签抗体

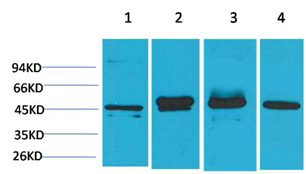
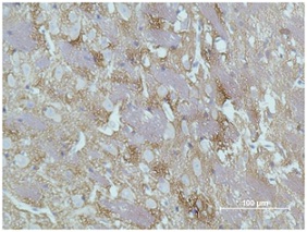
GAP43 Mouse Monoclonal Antibody

Catalog NO.:BE3341
Applications :WB, IHC
Reactivity :H,R,M

货号 规格 品牌 库存 价格 数量 操作
BE3341-50 50μl/支 EASYBIO
BE3341-100 100μl/支 EASYBIO
BE3341-10 10μl/支 EASYBIO

Growth Associated Protein 43 also known as GAP43 is a protein that in humans is encoded by the GAP43 gene. GAP43, is a nervous tissue-specific cytoplasmic protein that can be attached to the membrane via a dual palmitoylation sequence on cysteines 3 and 4. This sequence targets GAP43 to lipid rafts

Product Name: GAP43 Mouse Monoclonal Antibody
Isotype: IgG1
Storage Buffer : PBS, pH 7.4, containing 0.02% sodium azide as Preservative and 50% Glycerol
Storage instructions: -20°C. Do not aliquot the antibody
Recommended dilutions: WB:1:1,000-2,000 IHC:1:200-500
Optimal dilutions should be determined by the end user.
Specificity: Antibody can detects endogenous GAP43 protein.
Alternative Names: B50 antibody, Growth Associated Protein 43 antibody, Nerve Growth Related Peptide antibody
Form: Liquid
Reactivity: H,R,M
Alternate Text 暂无参考文献!
相关产品