Catalog NO.:BE3404
Applications :WB
Reactivity :H,R,M
| 货号 | 规格 | 品牌 | 库存 | 价格 | 数量 | 操作 |
|---|---|---|---|---|---|---|
| BE3404-50 | 50μl/支 | EASYBIO |
|
|||
| BE3404-100 | 100μl/支 | EASYBIO |
|
|||
| BE3404-10 | 10μl/支 | EASYBIO |
|

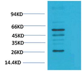
Transforming growth factor-β (TGF-β) superfamily members are critical regulators of cell proliferation and differentiation, developmental patterning and morphogenesis, and disease pathogenesis. Many cells synthesize TGFB1 and have specific receptors for it. It positively and negatively regulates many other growth factors
| Product Name: | TGFβ1 Rabbit Polyclonal Antibody |
|---|---|
| Isotype: | IgG |
| Storage Buffer : | Antigen Affinity Purified IgG in PBS, pH 7.4, containing 0.02% sodium azide as Preservative and 50% Glycerol |
| Storage instructions: | -20°C. Do not aliquot the antibody |
| Recommended dilutions: | WB:1:1,000-2,000 |
| Optimal dilutions should be determined by the end user. | |
| Specificity: | Antibody can detects endogenous TGFβ1 protein |
| Alternative Names: | TGF beta 1 antibody, TGFB antibody, CED antibody, LAP antibody |
| Form: | Liquid |
| Reactivity: | H,R,M |
暂无参考文献!