Catalog NO.:BE3652
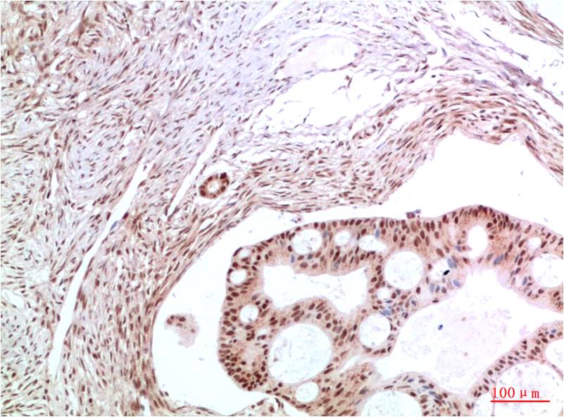
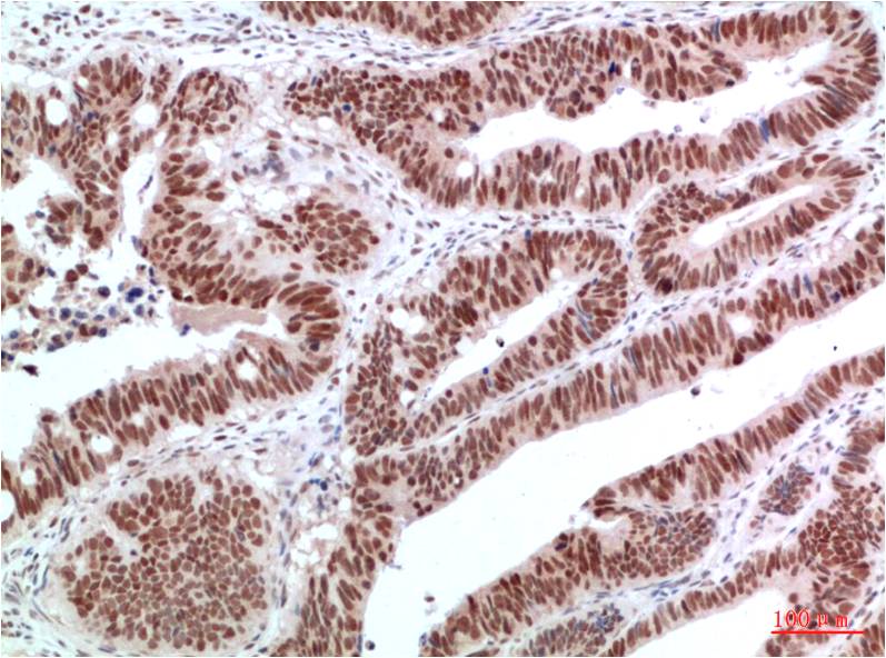
Applications :WB, IHC
Reactivity :H,M
| 货号 | 规格 | 品牌 | 库存 | 价格 | 数量 | 操作 |
|---|---|---|---|---|---|---|
| BE3652-100 | 100ul | EASYBIO |
|

c-Jun is a member of the Jun Family containing c-Jun, JunB and JunD, and is a component of the transcription factor AP-1 (activator protein-1).
| Product Name: | c-Jun Rabbit Polyclonal Antibody |
|---|---|
| Isotype: | IgG |
| Storage Buffer : | 1mg/ml in PBS, pH 7.4, containing 0.02% sodium azide and 50% glycerol. |
| Storage instructions: | -20°C. Do not aliquot the antibody |
| Recommended dilutions: | WB 1:1,000-2,000 IHC: 1:100-200 |
| Optimal dilutions should be determined by the end user. | |
| Specificity: | The c-Jun Rabbit Polyclonal Antibody can detects endogenous c-Jun proteins. |
| Alternative Names: | Activator Protein 1 antibody, AP1 antibody, p39 antibody |
| Form: | Liquid |
| Reactivity: | H,M |
暂无参考文献!