标签蛋白抗体
主要包括:常规标签抗体、直标标签抗体

JNK2 Rabbit Polyclonal Antibody

Catalog NO.:BE3675
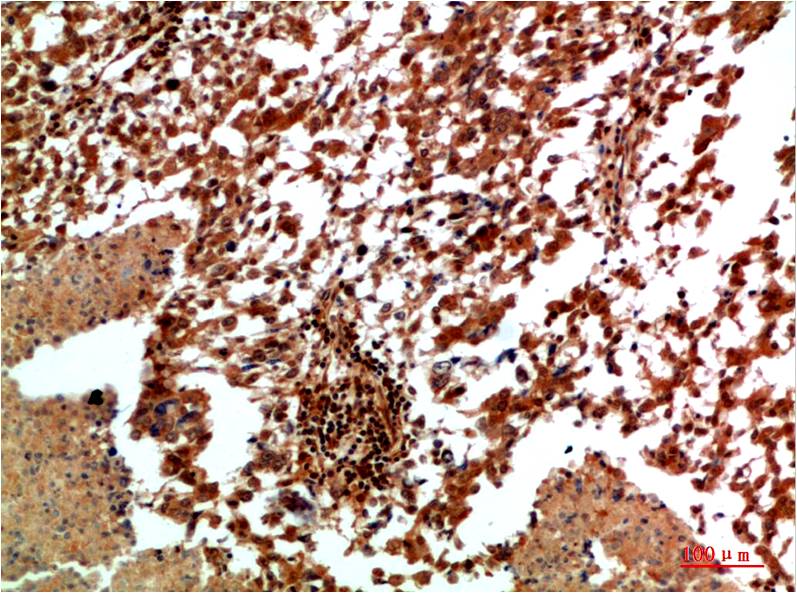
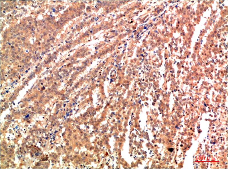
Applications :WB, IHC
Reactivity :H,R,M

货号 规格 品牌 库存 价格 数量 操作
BE3675-100 100ul EASYBIO

There are three SAPK/JNK genes each of which undergoes alternative splicing, resulting in numerous isoforms. SAPK/JNK, when active as a dimer, can translocate to the nucleus and regulate transcription through its effects on c-Jun, ATF-2, and other transcription factors.

Product Name: JNK2 Rabbit Polyclonal Antibody
Isotype: IgG
Storage Buffer : 1mg/ml in PBS, pH 7.4, containing 0.02% sodium azide and 50% glycerol.
Storage instructions: -20°C. Do not aliquot the antibody
Recommended dilutions: WB: 1:500-1,000 IHC: 1:100-200
Optimal dilutions should be determined by the end user.
Specificity: The JNK2 Rabbit Polyclonal Antibody can detects endogenous JNK2 proteins.
Alternative Names: c Jun kinase 2, JNK55, JNK2A, JNK2B, SAPK
Form: Liquid
Reactivity: H,R,M
Alternate Text 暂无参考文献!
相关产品