Catalog NO.:BE3684
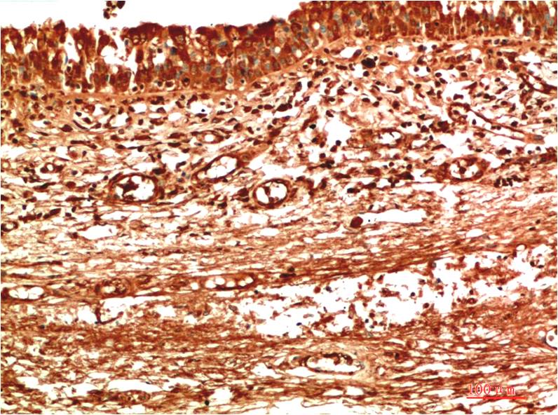
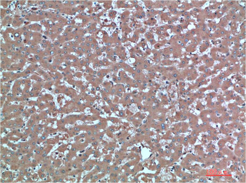
Applications :WB, IHC
Reactivity :H
| 货号 | 规格 | 品牌 | 库存 | 价格 | 数量 | 操作 |
|---|---|---|---|---|---|---|
| BE3684-100 | 100ul | EASYBIO |
|

Prealbumin, also designated transthyretin, is a major thyroid-hormone binding protein involved in transporting thyroxine from the bloodstream to the brain. Prealbumin is located in the cytoplasm and in the vesicles of developing rat brain cells, and is thought to be transported there from the cerebrospinal fluid via endocytosis.
| Product Name: | TTR Mouse Monoclonal Antibody(4A12) |
|---|---|
| Isotype: | IgG1 |
| Storage Buffer : | 1mg/ml in PBS, pH 7.4, containing 0.02% sodium azide and 50% glycerol. |
| Storage instructions: | -20°C. Do not aliquot the antibody |
| Recommended dilutions: | WB 1:1,000-2,000 IHC 1:100-200 |
| Optimal dilutions should be determined by the end user. | |
| Specificity: | The TTR Mouse Monoclonal Antibody can detects endogenous TTR proteins. |
| Alternative Names: | Prealbumin, TBPA, Amyloidosis I, Transthyretin antibody |
| Form: | Liquid |
| Reactivity: | H |
暂无参考文献!