标签蛋白抗体
主要包括:常规标签抗体、直标标签抗体

Acetyl P53(K382) Mouse Monoclonal Antibody(15F4)

Catalog NO.:BE3715
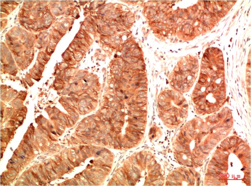
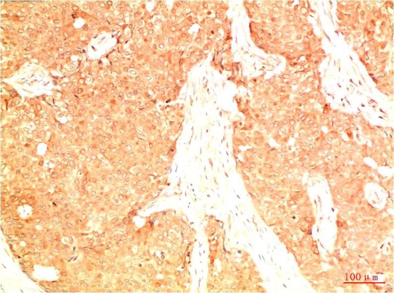
Applications :IHC
Reactivity :H,R,M

货号 规格 品牌 库存 价格 数量 操作
BE3715-100 100ul EASYBIO

p53 plays a major role in the cellular response to DNA damage and other genomic aberrations. The activation of p53 can lead to either cell cycle arrest and DNA repair, or apoptosis. Acetylation appears to play a positive role in the accumulation of p53 protein in stress response.

Product Name: Acetyl P53(K382) Mouse Monoclonal Antibody(15F4)
Isotype: IgG1
Storage Buffer : 1mg/ml in PBS, pH 7.4, containing 0.02% sodium azide and 50% glycerol.
Storage instructions: -20°C. Do not aliquot the antibody
Recommended dilutions: IHC: 1:100-200
Optimal dilutions should be determined by the end user.
Specificity: The Acetyl P53(K382) Mouse Monoclonal Antibody can detects endogenous Acetyl P53(K382) proteins.
Alternative Names: Cellular tumor antigen p53 antibody, Cys 51 stop antibody, Tp53 antibody, Tumor protein p53 antibody
Form: Liquid
Reactivity: H,R,M
Alternate Text 暂无参考文献!
相关产品