Catalog NO.:BE3716
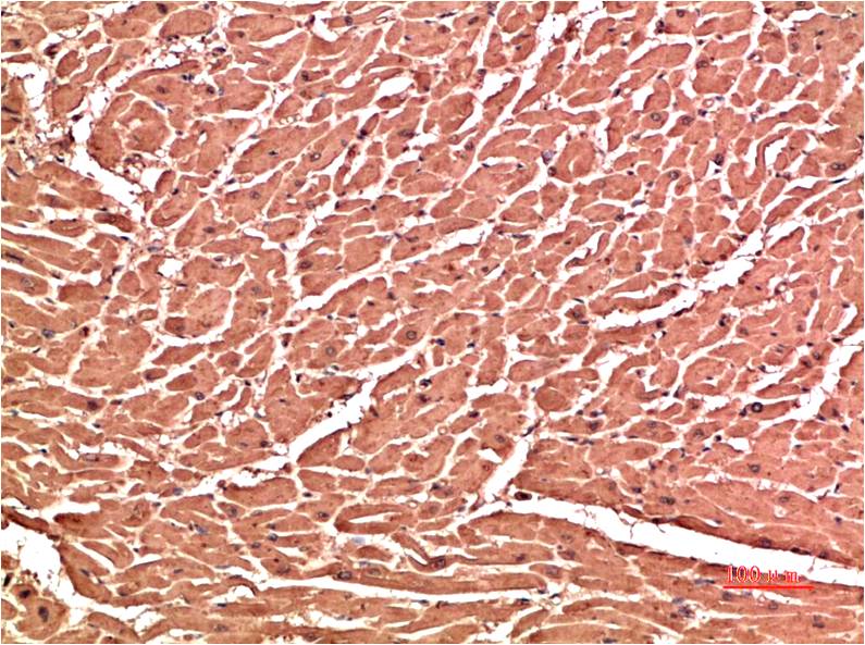
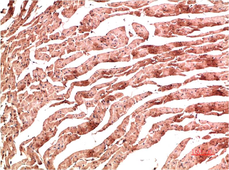
Applications :IHC
Reactivity :H,R,M
| 货号 | 规格 | 品牌 | 库存 | 价格 | 数量 | 操作 |
|---|---|---|---|---|---|---|
| BE3716-100 | 100ul | EASYBIO |
|

In endothelial cells, VE-cadherin signaling, expression, and localization correlate with vascular permeability and tumor angiogenesis.
| Product Name: | VE-Cadherin Mouse Monoclonal Antibody(3G8) |
|---|---|
| Isotype: | IgG1 |
| Storage Buffer : | 1mg/ml in PBS, pH 7.4, containing 0.02% sodium azide and 50% glycerol. |
| Storage instructions: | -20°C. Do not aliquot the antibody |
| Recommended dilutions: | IHC: 1:100-200 |
| Optimal dilutions should be determined by the end user. | |
| Specificity: | The VE-Cadherin Mouse Monoclonal Antibody can detects endogenous VE-Cadherin proteins. |
| Alternative Names: | CD144,Cadherin 5, VEC,CDH5 |
| Form: | Liquid |
| Reactivity: | H,R,M |
暂无参考文献!