Catalog NO.:BE3724
Applications :IHC
Reactivity :H,R,M
| 货号 | 规格 | 品牌 | 库存 | 价格 | 数量 | 操作 |
|---|---|---|---|---|---|---|
| BE3724-100 | 100ul | EASYBIO |
|

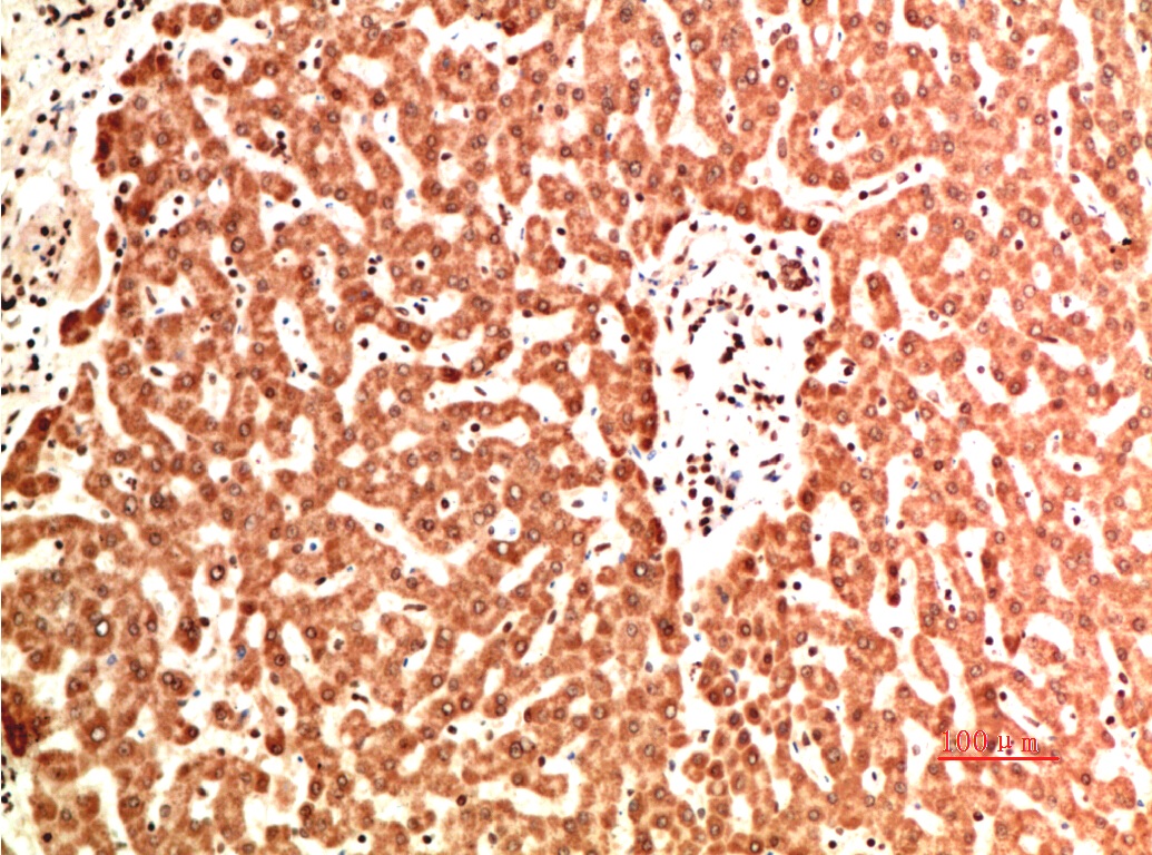
Collagens are fibrous, extracellular matrix proteins with high tensile strength and are the major components of connective tissue, such as tendons and cartilage. All collagens contain a triple helix domain and frequently show lateral self-association in order to form complex connective tissues. Several collagens also play a role in cell adhesion, important for maintaining normal tissue architecture and function.
| Product Name: | Collagen IV Mouse Monoclonal Antibody(9A7) |
|---|---|
| Isotype: | IgG1 |
| Storage Buffer : | PBS, pH 7.4, containing 0.02% sodium azide as Preservative and 50% Glycerol |
| Storage instructions: | -20°C. Do not aliquot the antibody |
| Recommended dilutions: | IHC: 1:100-200 |
| Optimal dilutions should be determined by the end user. | |
| Specificity: | The antibody can detects endogenous Collagen IV proteins. |
| Alternative Names: | BSVD, COL4A1, collagen type IV alpha 1 |
| Form: | Liquid |
| Reactivity: | H,R,M |
暂无参考文献!