标签蛋白抗体
主要包括:常规标签抗体、直标标签抗体

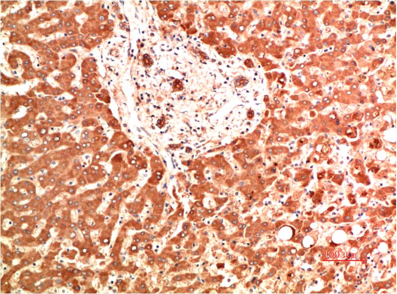
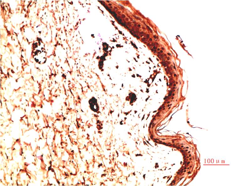
Collagen IV Mouse Monoclonal Antibody(5C9)

Catalog NO.:BE3725
Applications :IHC
Reactivity :H,R,M

货号 规格 品牌 库存 价格 数量 操作
BE3725-100 100ul EASYBIO

Collagens are fibrous, extracellular matrix proteins with high tensile strength and are the major components of connective tissue, such as tendons and cartilage. All collagens contain a triple helix domain and frequently show lateral self-association in order to form complex connective tissues. Several collagens also play a role in cell adhesion, important for maintaining normal tissue architecture and function.

Product Name: Collagen IV Mouse Monoclonal Antibody(5C9)
Isotype: IgG1
Storage Buffer : PBS, pH 7.4, containing 0.02% sodium azide as Preservative and 50% Glycerol
Storage instructions: -20°C. Do not aliquot the antibody
Recommended dilutions: IHC: 1:100-200
Optimal dilutions should be determined by the end user.
Specificity: The antibody can detects endogenous Collagen IV proteins.
Alternative Names: BSVD, COL4A1, collagen type IV alpha 1
Form: Liquid
Reactivity: H,R,M
Alternate Text 暂无参考文献!
相关产品