Catalog NO.:BE3729
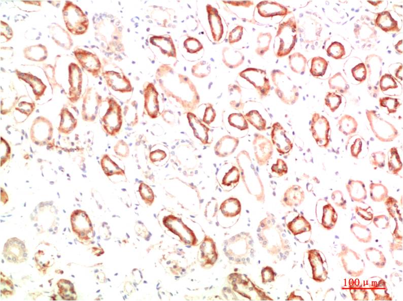
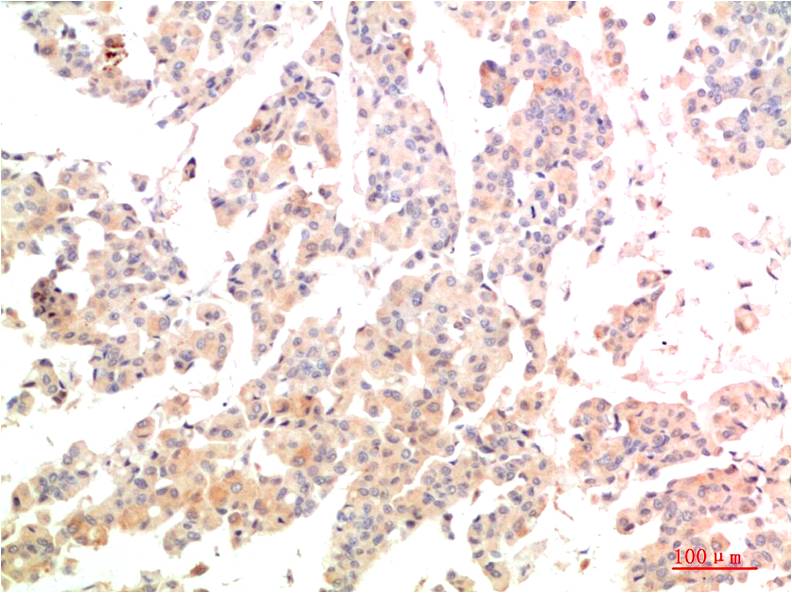
Applications :IHC
Reactivity :H,R,M
| 货号 | 规格 | 品牌 | 库存 | 价格 | 数量 | 操作 |
|---|---|---|---|---|---|---|
| BE3729-100 | 100ul | EASYBIO |
|

Three alternatively spliced transcript variants of MEK3 encoding distinct isoforms have been reported. Isoform B utilizes a different start codon compared to isoform C resulting in the production of a N-terminal segment of isoform B which is shorter and distinct from isoform C . MEK3b is the predominant form of MEK3 and strongly activates p38 MAP kinase.
| Product Name: | MEK3 Rabbit Polyclonal Antibody |
|---|---|
| Isotype: | IgG |
| Storage Buffer : | 1mg/ml in PBS, pH 7.4, containing 0.02% sodium azide and 50% glycerol. |
| Storage instructions: | -20°C. Do not aliquot the antibody |
| Recommended dilutions: | IHC: 1:100-200 |
| Optimal dilutions should be determined by the end user. | |
| Specificity: | The MEK3 Rabbit Polyclonal Antibody can detects endogenous MEK3 proteins. |
| Alternative Names: | MAP2K3; MKK3; PRKMK3; Dual specificity mitogen-activated protein kinase kinase 3; MAP kinase kinase 3; MAPKK3; MAPK/ERK kinase 3 |
| Form: | Liquid |
| Reactivity: | H,R,M |
暂无参考文献!