Catalog NO.:BE3734
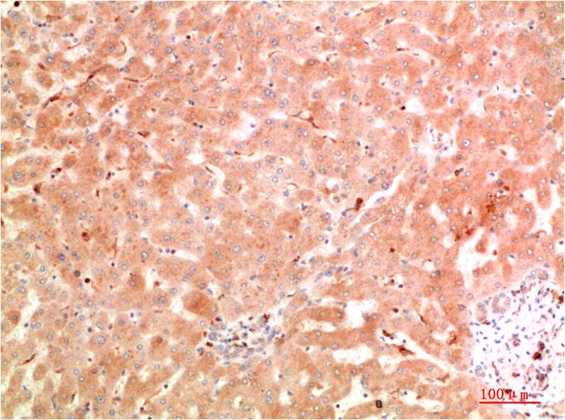
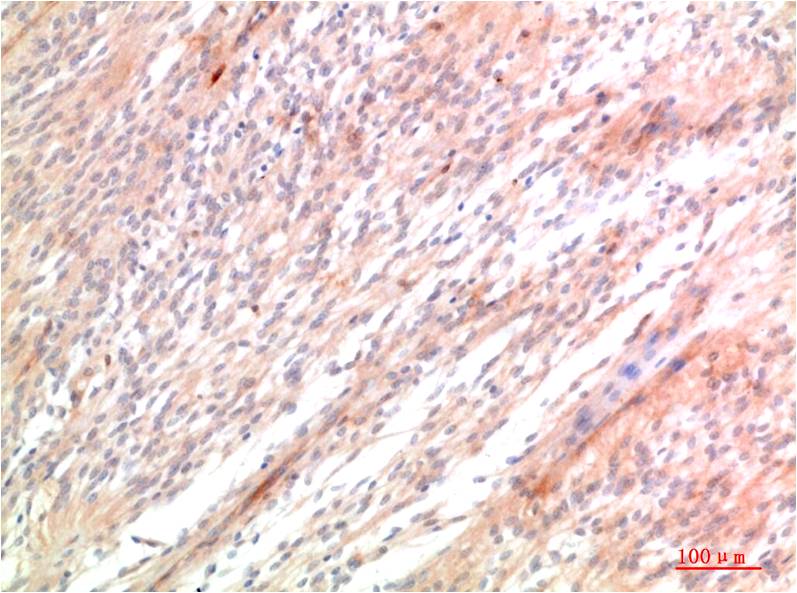
Applications :IHC
Reactivity :H,R,M
| 货号 | 规格 | 品牌 | 库存 | 价格 | 数量 | 操作 |
|---|---|---|---|---|---|---|
| BE3734-100 | 100ul | EASYBIO |
|

Autophagy is generally activated by conditions of nutrient deprivation but has also been associated with a number of physiological processes including development, differentiation, neurodegeneration, infection, and cancer. Formation of the autophagosome involves a ubiquitin-like conjugation system in which Atg12 is covalently bound to Atg5 and targeted to autophagosome vesicles. This conjugation reaction is mediated by the ubiquitin E1-like enzyme Atg7 and the E2-like enzyme Atg10.
| Product Name: | ATG5 Rabbit Polyclonal Antibody |
|---|---|
| Isotype: | IgG |
| Storage Buffer : | 1mg/ml in PBS, pH 7.4, containing 0.02% sodium azide and 50% glycerol. |
| Storage instructions: | -20°C. Do not aliquot the antibody |
| Recommended dilutions: | IHC: 1:100-200 |
| Optimal dilutions should be determined by the end user. | |
| Specificity: | The ATG5 Rabbit Polyclonal Antibody can detects endogenous ATG5 proteins. |
| Alternative Names: | APG5, APG5L,ASP,Autophage Cysteine protein5 antibody |
| Form: | Liquid |
| Reactivity: | H,R,M |
暂无参考文献!