Catalog NO.:BE3742
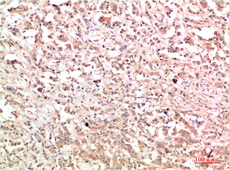
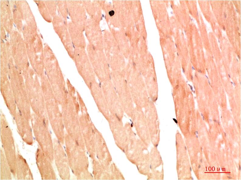
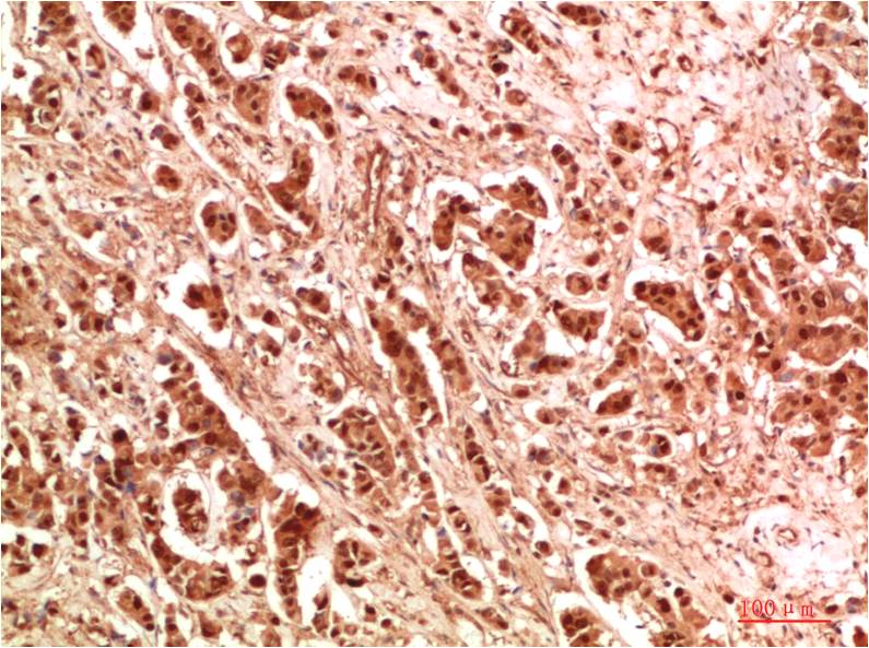
Applications :IHC
Reactivity :H,R,M
| 货号 | 规格 | 品牌 | 库存 | 价格 | 数量 | 操作 |
|---|---|---|---|---|---|---|
| BE3742-100 | 100ul | EASYBIO |
|

WIPI2 is the mammalian homolog of Atg18, not Atg21, along with the closely related protein, WIPI1. WD40 repeat proteins regulate the assembly of multiprotein complexes by presenting a beta-propeller platform for simultaneous and reversible protein-protein interactions. Members of the WIPI subfamily of WD40 repeat proteins, such as WIPI2, have a 7-bladed propeller structure and contain a conserved motif for interaction with phospholipids.
| Product Name: | WIPI2 Rabbit Polyclonal Antibody |
|---|---|
| Isotype: | IgG |
| Storage Buffer : | 1mg/ml in PBS, pH 7.4, containing 0.02% sodium azide and 50% glycerol. |
| Storage instructions: | -20°C. Do not aliquot the antibody |
| Recommended dilutions: | IHC: 1:100-200 |
| Optimal dilutions should be determined by the end user. | |
| Specificity: | The WIPI2 Rabbit Polyclonal Antibody can detects endogenous WIPI2 proteins. |
| Alternative Names: | ATG21, CGI50 |
| Form: | Liquid |
| Reactivity: | H,R,M |
暂无参考文献!