Catalog NO.:BE3743
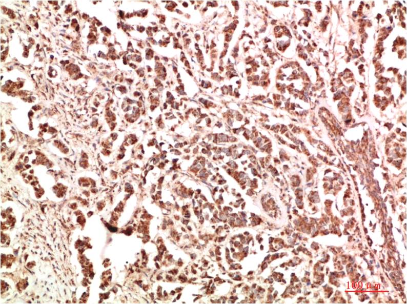
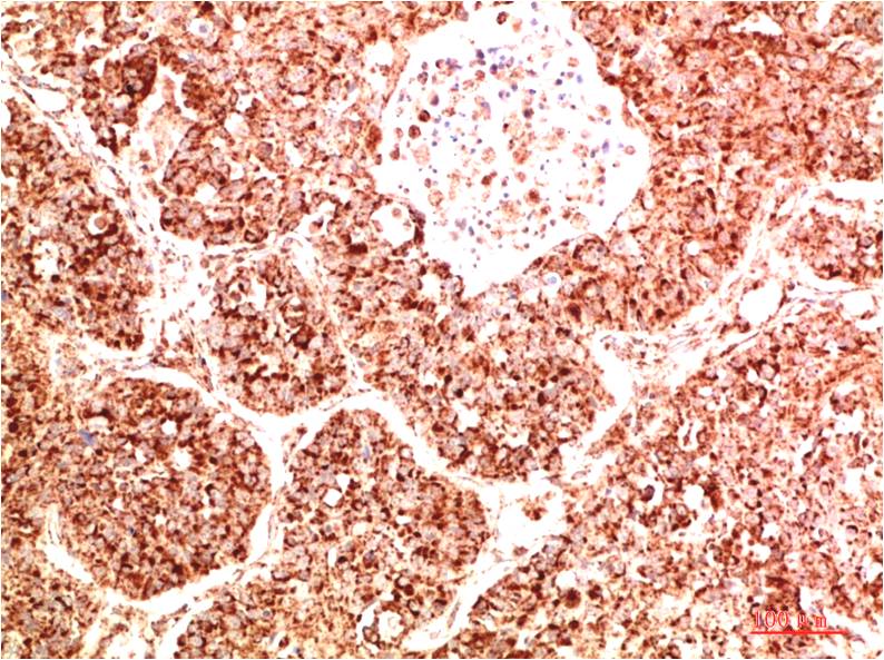
Applications :IHC
Reactivity :H,R,M
| 货号 | 规格 | 品牌 | 库存 | 价格 | 数量 | 操作 |
|---|---|---|---|---|---|---|
| BE3743-100 | 100ul | EASYBIO |
|

FAK is a widely expressed cytoplasmic protein tyrosine kinase involved in integrin-mediated signal transduction. It plays an important role in the control of several biological processes, including cell spreading, migration, and survival.
| Product Name: | FAK Rabbit Polyclonal Antibody |
|---|---|
| Isotype: | IgG |
| Storage Buffer : | 1mg/ml in PBS, pH 7.4, containing 0.02% sodium azide and 50% glycerol. |
| Storage instructions: | -20°C. Do not aliquot the antibody |
| Recommended dilutions: | IHC: 1:200-500 |
| Optimal dilutions should be determined by the end user. | |
| Specificity: | The FAK Rabbit Polyclonal Antibody can detects endogenous FAK proteins. |
| Alternative Names: | FADK, Focal adhesion kinase 1 antibody, Protein tyrosine kinase 2 antibody |
| Form: | Liquid |
| Reactivity: | H,R,M |
暂无参考文献!